Anyone who has experienced tooth pain knows that the sooner it is relieved, the better. Feeling pain in a tooth is not normal and usually signals a problem that needs attention. So, if your teeth hurt and you’ve been searching for reasons why your teeth hurt, it’s always a good idea to see your dentist quickly.
During your visit, your dentist can do a thorough exam and finally answer the frustrating question you might have: “Why do my teeth hurt?”

❓ Reasons Why Your Teeth Hurt (Most Common Causes)
There are many reasons why your teeth hurt, but these are some of the most common causes:
1. Cavity (Tooth Decay)
A cavity happens when bacteria cause decay in your tooth. The damage can create sensitivity and sharp or dull tooth pain. Cavities are easiest to treat when they are small, and early treatment helps your dentist save the tooth with a simple filling.
2. Damaged or Lost Filling
Sometimes a filling cracks, wears down, or falls out. This change can affect your bite and expose sensitive areas of the tooth, leading to pain. A quick visit to your dentist allows them to repair or replace the filling and relieve your discomfort.
3. Reasons Why Your Teeth Hurt : Teeth Grinding, Clenching, or TMJ Issues
You may find yourself clenching your teeth during the day or waking up with a sore jaw. These are common signs that you grind or clench your teeth at night (bruxism). Over time, this habit can cause headaches, toothaches, jaw pain, and worn-down teeth. Your dentist can recommend a nightguard or other solutions to protect your teeth and jaw.

4. Abscessed Tooth
An abscess forms when an infection reaches the root of the tooth. This often causes intense, throbbing pain, swelling, and sometimes a bad taste in your mouth. Only a dentist can treat a tooth abscess safely with procedures like drainage, root canal therapy, and antibiotics. Ignoring it can allow the infection to spread and lead to more serious health problems.
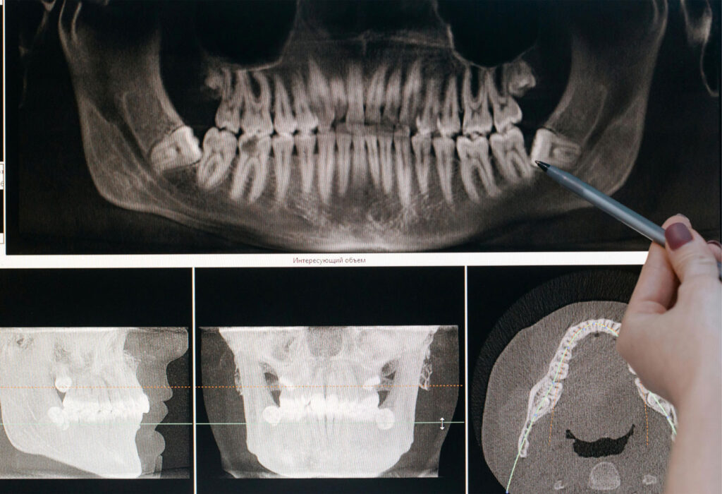
5. Wisdom Teeth Coming In
When wisdom teeth begin to erupt, they can cause pain, swelling, and jaw stiffness—especially if they grow at an angle or don’t have enough space. In many cases, they also press against neighboring teeth, which can create additional soreness.
Your dentist can evaluate your wisdom teeth with an exam and X-rays to see if they are coming in properly or if removal is the best option.
6. Dental Injury or Trauma
A hit to the mouth from contact sports, a fall, or an accident can bruise a tooth, chip it, fracture it, or even knock it out. After an injury, you may notice pain, discoloration, or sensitivity when you bite down.
Because trauma can damage both the outside and inside of the tooth, prompt dental care improves the chance of saving it and preventing long-term problems.

7. Reasons Why Your Teeth Hurt : Temperature Sensitivity
If the inner layer of the tooth (dentin) becomes exposed—due to cracks in the enamel or gum recession—you may feel sharp pain with hot or cold drinks and foods. Desensitizing toothpaste, fluoride treatments, or restorative procedures can often reduce this type of sensitivity.
8. Orthodontic Treatment
When your braces or aligners are adjusted, it’s normal to feel some tooth and gum soreness for a few days. Over-the-counter pain medications and orthodontic wax usually help. If the pain feels severe or doesn’t improve, your dentist or orthodontist should check your appliances.
9. Teeth Whitening Sensitivity
Many people feel some temporary discomfort after professional Zoom whitening or other whitening treatments. This sensitivity usually fades within a day or two. If the pain is intense or lingers, your dentist can adjust your whitening plan, recommend desensitizing products, or check for other issues.

🩺 Why Your Teeth Hurt ? Contact Our Office Today
Tooth pain is your body’s way of telling you that something needs attention. Even if the discomfort comes and goes, it’s important not to ignore it.
If you’re wondering about the reasons why your teeth hurt, we can help you find the cause and create a treatment plan that protects your smile and your health.
👉 Call Smiles For Health today to schedule an appointment and get relief from tooth pain.