
Tooth sensitivity typically arises when the dentin, the softer, porous layer beneath your tooth enamel, becomes exposed. Dentin contains thousands of microscopic tubules that lead directly to the tooth’s pulp, where the nerves are located. When these tubules lose their protective covering, stimuli like temperature changes or certain foods can reach the nerves, causing that characteristic sharp pain.
Here are the most common causes of tooth sensitivity:
- Enamel Erosion: Your tooth enamel is the hardest substance in your body, but it can wear down. This erosion can be caused by:
- Acidic Foods and Drinks: Frequent consumption of highly acidic beverages (sodas, fruit juices, sports drinks) and foods (citrus fruits, tomatoes) can dissolve enamel over time.
- Aggressive Brushing: Brushing too hard or using a toothbrush with stiff bristles can literally scrub away enamel, exposing the dentin underneath. Our preventive dentistry tips often include advice on proper brushing techniques.
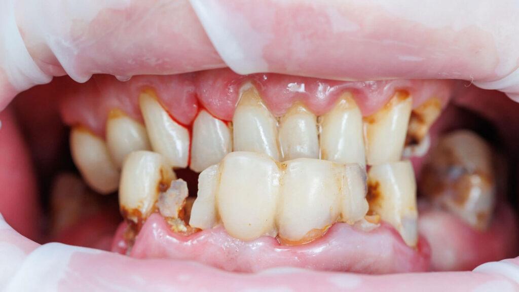
- Receding Gums: When your gums pull away from your teeth, they expose the root surfaces, which are not covered by enamel. The root surface is even more porous than dentin, making it highly susceptible to sensitivity. Gum recession can be caused by gum disease, aggressive brushing, or even genetic factors. We always check for gum health during exams and cleanings.
- Teeth Grinding (Bruxism) and Clenching: Many people unknowingly clench or grind their teeth, especially at night. This excessive force can wear down enamel, crack teeth, and even cause microscopic fractures, leading to widespread sensitivity. If this sounds like you, TMJ/TMD treatment might be something to explore.
- Cracked or Chipped Teeth: A visible or even hairline crack in a tooth can expose the inner layers, allowing stimuli to reach the nerve. These can be caused by injury, biting on hard objects, or grinding. Minor chips might be fixed with dental bonding or veneers.
- Old or Worn Fillings: Over time, dental fillings can wear down, chip, or develop small gaps around their edges. These imperfections can create pathways for bacteria and stimuli to reach the dentin or pulp. If you have an old filling causing issues, you might need new dental fillings or even onlays and inlays.
- Recent Dental Procedures: It’s quite common to experience temporary sensitivity after certain dental treatments, such as teeth whitening, professional cleanings, or the placement of new dental crowns. This type of sensitivity is usually mild and resolves within a few days or weeks as your teeth settle.
Understanding these common causes of tooth sensitivity is the first step toward finding lasting relief. Our team at Smiles for Health DDS, including Dr. Diana Zorro DDS, is here to accurately diagnose the reason your teeth feel sensitive and create a personalized plan to get you comfortable again. Don’t let tooth sensitivity dictate your life; contact us today to schedule your consultation and explore your options for a pain-free smile!
Is It Normal for My Teeth to Hurt After Brushing or Eating?
It’s a common and frustrating experience: you finish brushing your teeth or take a bite of your favorite food, and suddenly, a jolt of pain hits. While some very mild, fleeting sensitivity might occur occasionally for some individuals, consistent or sharp pain after brushing or eating is not considered “normal” and usually points to an underlying issue that needs attention. When you’re asking yourself, “why are my teeth sensitive” after these routine activities, it’s a clear signal.
Here’s why brushing technique or hot/cold food can trigger pain:
- After Brushing:
- Exposed Dentin: As discussed, if your enamel has worn down or your gums have receded, the exposed dentin reacts directly to the bristles of your toothbrush. Even a soft brush can stimulate the nerves through the exposed tubules.
- Aggressive Brushing: Brushing too hard or using a hard-bristled brush can strip away more enamel or push back your gums, exacerbating sensitivity. It also can irritate already exposed root surfaces.
- Incorrect Toothpaste: Some toothpastes, especially those with abrasive whitening agents, can contribute to enamel wear and increase sensitivity over time. Consider switching to a desensitizing toothpaste.
- After Eating Hot/Cold Foods:
- Thermal Shock: This is the classic sensitivity trigger. When cold or hot stimuli hit exposed dentin, the fluid inside the dentinal tubules moves, irritating the nerve.
- Sweet or Acidic Foods: Sugary foods can draw fluid out of the tubules, and acidic foods can temporarily open them further, leading to pain. These foods can also contribute to enamel erosion over time.
- Cracks or Cavities: If there’s a small crack or an untreated cavity, hot, cold, or sweet foods can penetrate directly to the nerve, causing intense pain. These issues definitely need professional care, potentially dental fillings or even a root canal.
If your teeth consistently hurt after brushing or eating, don’t dismiss it as normal. It’s a symptom that something needs to be addressed. Our team at Smiles for Health DDS can pinpoint the exact reasons your teeth feel sensitive and provide effective solutions to restore your comfort. From advising on proper brushing techniques and fluoride treatment to addressing more complex issues, we are committed to your wellness dentistry. Don’t endure the pain – contact us for an appointment.
Can Cavities or Gum Disease Cause Sensitive Teeth?
Absolutely. While enamel erosion and receding gums are common culprits for why your teeth feel sensitive, underlying dental problems like cavities and gum disease are major reasons for tooth sensitivity and often indicate a more urgent need for professional care. These conditions directly compromise the protective layers of your teeth, exposing the sensitive interior.
Here’s how these issues relate to sensitivity symptoms:
- Cavities (Tooth Decay):
- How they cause sensitivity: A cavity is essentially a hole in your tooth caused by decay. As the decay progresses, it eats through the outer layers of enamel and then into the dentin. Once the cavity reaches the dentin, the microscopic tubules are exposed, making the tooth highly sensitive to temperature changes, sweets, and pressure. If the decay gets deeper and reaches the pulp (the innermost part of the tooth where the nerve resides), the pain can become excruciating and constant, often indicating the need for a root canal.
- Symptoms: Sensitivity that focuses on one particular tooth, pain when biting, visible holes or dark spots on the tooth, or food getting stuck in a specific area.
- Solution: Prompt treatment with dental fillings is crucial. For larger cavities, a dental crown or onlays and inlays might be necessary to restore the tooth.
- Gum Disease (Gingivitis and Periodontitis):
- How they cause sensitivity: Gum disease, caused by plaque buildup, leads to inflammation and infection of the gums. In its early stage (gingivitis), gums might be red, swollen, and bleed easily during brushing. If left untreated, it progresses to periodontitis, where the infection attacks the supporting bone and tissues around your teeth. This causes the gums to pull away from the teeth (recede) and bone loss, exposing the sensitive root surfaces.
- Symptoms: Sensitive teeth, bleeding gums, red or swollen gums, persistent bad breath, loose teeth, and changes in your bite.
- Solution: Regular exams and cleanings are essential for preventing and managing gum disease. More advanced cases might require specialized periodontal treatments from our team.
Both cavities and gum disease are progressive conditions. If you experience sensitive teeth along with any of the symptoms listed above, it’s critical to seek professional dental care promptly. Delaying treatment can lead to more extensive damage, more complex and expensive procedures, and potentially even tooth loss. At Smiles for Health DDS, our comprehensive approach to wellness dentistry means we’re equipped to diagnose and treat these issues effectively. Don’t wait for the pain to become unbearable; contact us for an appointment to ensure your oral health is on the right track. We also offer oral cancer screenings as part of your routine check-up.

Could My Diet Be Making My Teeth More Sensitive?
You might be surprised to learn just how much your daily diet can influence whether you experience tooth sensitivity. If you’re asking “why are my teeth sensitive” after enjoying certain foods and drinks, your diet could definitely be a major culprit. The foods and beverages we consume regularly play a significant role in the health and integrity of our tooth enamel, which is our teeth’s primary defense against sensitivity. At Smiles for Health DDS, we often find that simple dietary adjustments can make a big difference in reducing discomfort.
Here’s how specific dietary choices can impact your tooth sensitivity:
- Acidic Foods and Drinks: This is perhaps the biggest offender. Highly acidic items can erode your tooth enamel, exposing the sensitive dentin underneath.
- Citrus Fruits: Lemons, oranges, grapefruits, and limes are very acidic. While healthy, frequent exposure can wear down enamel.
- Fizzy Drinks/Sodas: These are notorious for their high acidity, which can rapidly soften and erode tooth enamel. Diet sodas are often just as acidic as their sugary counterparts.
- Sports Drinks: Many popular sports drinks are highly acidic and sugary, posing a double threat to enamel health.
- Vinegar: Found in salad dressings and pickles, vinegar is another acidic ingredient that can contribute to erosion.
- Tomatoes: While nutritious, tomatoes are acidic and can cause sensitivity, especially in their raw form or in sauces.
- Sugary Snacks and Beverages: Sugary foods don’t directly erode enamel with acid, but they feed the bacteria in your mouth. These bacteria then produce acids that attack and demineralize your enamel, leading to cavities. A cavity can expose the inner, sensitive parts of your tooth, making it prone to pain. Our dental fillings address these issues.
- Hard or Sticky Foods: While not directly causing sensitivity through acid, biting down on very hard foods (like ice, hard candy, or unpopped popcorn kernels) can chip or crack teeth, exposing sensitive areas. Sticky foods can also pull on dental work or get lodged in crevices, leading to localized sensitivity or decay.
To protect your enamel and reduce tooth sensitivity, we recommend:
- Limiting acidic and sugary foods/drinks.
- Rinsing your mouth with water after consuming acidic items.
- Waiting at least 30 minutes after acidic consumption before brushing, to avoid brushing softened enamel.
- Drinking through a straw (if approved by your dentist for general use, and certainly not after extractions!) to minimize contact with teeth.
Our team at Smiles for Health DDS can provide tailored advice on diet and preventive dentistry to help you manage and reduce tooth sensitivity. Contact us for a consultation and discuss how your diet might be affecting your smile!
How Do I Know If My Tooth Sensitivity Is Serious?
It’s common to wonder if that sudden jolt of tooth pain is just a minor annoyance or a signal of something more serious. While some temporary sensitivity is normal (for instance, after a teeth whitening treatment), persistent or worsening pain, especially when combined with other symptoms, means it’s time to see a dentist immediately. At Smiles for Health DDS, we want you to be able to distinguish mild discomfort from a potential dental emergency.
Here’s a checklist for identifying when your tooth sensitivity might be serious:
- Prolonged or Constant Pain: If the sensitivity lingers for more than a few seconds after the trigger (hot, cold, sweet), or if you experience a dull, constant ache even without a trigger, this is a red flag. This can indicate inflammation or infection of the tooth’s pulp, possibly requiring a root canal.
- Spontaneous Pain: Pain that occurs suddenly, without any apparent cause, or wakes you up at night, suggests a deeper issue like an abscess or severe decay.
- Visible Swelling or Redness: Swelling in the gums or face around the sensitive tooth, or significant redness and tenderness, points to inflammation or infection. This could be a sign of an abscess that needs urgent attention from our emergency dentist services.
- Bleeding Gums with Sensitivity: While bleeding gums can be a sign of gingivitis, if combined with new or worsening sensitivity, it could indicate more advanced gum disease that has led to significant gum recession. Our oral cancer screenings also involve checking for gum health.
- Pain with Biting or Chewing: If it hurts to bite down, even on soft foods, this might mean a cracked tooth, a loose dental filling, or issues with existing dental crowns or dental bridges.
- Fever or General Malaise: If tooth pain is accompanied by a fever, swollen lymph nodes, or a general feeling of being unwell, it strongly suggests a spreading infection.
- Pus or Discharge: Any visible pus around the tooth or gums indicates a serious infection.
If you experience any of these more severe symptoms alongside your tooth sensitivity, do not delay. Contact us at Smiles for Health DDS immediately. Our team, including Dr. Diana Zorro DDS, is ready to provide the urgent care you need to prevent further complications and restore your comfort.

What’s the Best Way to Prevent Tooth Sensitivity Long-Term?
Preventing tooth sensitivity long-term is all about consistent, proactive oral care and addressing the underlying causes. While quick fixes offer temporary relief, true freedom from sensitivity comes from a comprehensive approach to your dental health. At Smiles for Health DDS, our philosophy of wellness dentistry focuses on preventing problems before they start, ensuring your smile remains healthy and comfortable.
Here’s a roadmap for preventing tooth sensitivity long-term:
- Practice Excellent Enamel Care:
- Gentle Brushing: Use a soft-bristled toothbrush and brush with gentle, circular motions. Avoid scrubbing aggressively, which can wear down enamel and irritate gums. This is a fundamental part of preventive dentistry.
- Proper Technique: Ask our dental hygienist during your exams and cleanings to demonstrate the correct brushing and flossing techniques.
- Dietary Awareness: Limit acidic foods and drinks, or consume them in moderation. Rinse your mouth with water after consuming acidic items to neutralize acids.
- Choose the Right Toothpaste and Mouthwash:
- Desensitizing Toothpaste: Make a desensitizing toothpaste (containing potassium nitrate or stannous fluoride) your daily go-to. Use it twice a day, every day, to build up protection.
- Fluoride Products: Incorporate a fluoride mouthwash or consider professional fluoride treatment during your dental visits. Fluoride strengthens enamel and can help block dentinal tubules.
- Address Teeth Grinding (Bruxism): If you grind or clench your teeth, especially at night, this can lead to enamel wear and cracked teeth, causing sensitivity. Our TMJ/TMD treatment options, such as custom nightguards, can protect your teeth from excessive force. We can also help if you’re exploring sleep apnea treatment which can sometimes be linked to grinding.
- Regular Dental Checkups and Cleanings: This is perhaps the most important preventive measure.
- Early Detection: Regular visits allow our team to spot potential problems like gum recession, early signs of decay, or enamel erosion before they become severe and cause significant sensitivity.
- Professional Cleaning: Our hygienists can remove plaque and tartar buildup, which can contribute to gum disease and exposed roots.
- Protective Treatments: We can apply professional desensitizing agents or dental sealants to vulnerable areas for extra protection.
- Treat Underlying Dental Issues: Don’t delay addressing issues like cavities (which need dental fillings), cracked teeth (dental bonding or dental crowns), or gum disease. Resolving these core problems will eliminate the sensitivity they cause.
By adopting these habits and partnering with Smiles for Health DDS for your ongoing oral care, you can significantly reduce, and often eliminate, tooth sensitivity. Your comfort and lasting smile are our priority. Ready to say goodbye to sensitive teeth? Contact us today to schedule your next appointment and discuss a personalized plan for long-term relief!
Frequently Asked Questions
Why are my teeth sensitive to hot and cold foods?
Teeth sensitivity to temperature changes is often caused by exposed dentin or enamel erosion. Smiles for Health DDS explains that understanding why are my teeth sensitive helps in choosing the right treatment.
What are the most common causes of tooth sensitivity?
Causes of tooth sensitivity include enamel wear, gum recession, cavities, and cracked teeth. Smiles for Health DDS highlights these as primary reasons your teeth feel sensitive.
Can gum disease cause tooth sensitivity?
Yes, gum disease can expose tooth roots leading to increased sensitivity. Smiles for Health DDS stresses the importance of treating gum conditions to reduce sensitivity.
Does brushing too hard contribute to sensitive teeth?
Overbrushing can wear down enamel and irritate gums, causing sensitivity. Smiles for Health DDS recommends gentle brushing to prevent this common cause of tooth sensitivity.
Can teeth whitening products increase sensitivity?
Some whitening agents can cause temporary sensitivity. Smiles for Health DDS advises using these products cautiously and following professional advice to avoid worsening why are my teeth sensitive.
How does tooth decay lead to sensitivity?
Cavities expose inner tooth layers, causing pain when exposed to stimuli. Smiles for Health DDS encourages early detection to prevent worsening tooth sensitivity.
Is sensitivity more common in certain age groups?
Sensitivity can occur at any age but is more frequent in adults due to enamel wear over time. Smiles for Health DDS helps patients understand these common reasons your teeth feel sensitive.
Can acidic foods and drinks worsen tooth sensitivity?
Yes, acids erode enamel, making teeth more sensitive. Smiles for Health DDS suggests moderating acid intake for better oral health and to manage causes of tooth sensitivity.
What lifestyle habits contribute to tooth sensitivity?
Habits like teeth grinding, smoking, and aggressive brushing can increase sensitivity. Smiles for Health DDS advises modifying these habits to alleviate why are my teeth sensitive symptoms.
Can dental procedures cause temporary tooth sensitivity?
Yes, cleanings, fillings, or crowns may cause short-term sensitivity. Smiles for Health DDS provides care instructions to manage this discomfort and help you understand causes of tooth sensitivity.
How do I know if my sensitivity is serious enough to see a dentist?
Persistent or severe pain, swelling, or sensitivity affecting daily life warrants dental evaluation.
Can sensitivity be a sign of a cracked tooth?
Yes, cracks can expose nerves leading to sharp sensitivity.
Are sensitive teeth related to enamel thickness?
Thinner enamel offers less protection, increasing sensitivity risks.
Can using a softer toothbrush reduce tooth sensitivity?
Yes, soft-bristle brushes help prevent enamel abrasion and gum irritation.
Is it possible to reverse tooth sensitivity naturally?
Some home remedies and remineralizing products may help, but professional care is often needed for lasting relief.