Dental Veneers: Aesthetic and Oral Health

Stay inspired. Stay smiling.

Dental Veneers: Aesthetic and Oral Health Benefits

🪄 Why Dental Veneers Are So Popular

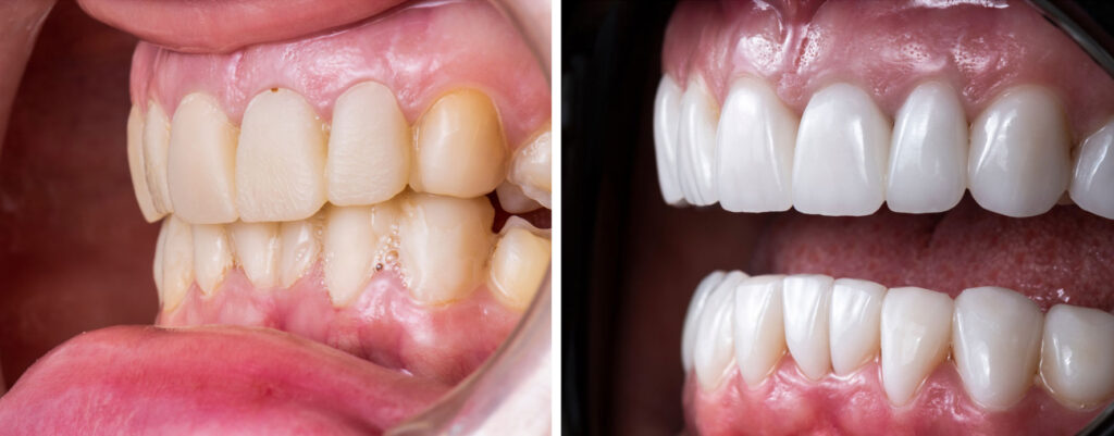
Dental veneers have become one of the most popular cosmetic treatments thanks to their ability to transform a smile quickly, safely, and naturally. While many people believe veneers are purely aesthetic, they also offer significant oral health benefits. Because of this, they’re an excellent choice for anyone seeking beauty, function, and long-term wellness.

For this reason, veneers are often seen as a bridge between cosmetic dentistry and functional care.

At the same time, at Smiles For Health in Carlsbad, we blend aesthetics, technology, and functional dentistry to ensure every smile design reflects harmony, health, and confidence. As a result, your treatment plan supports both how your smile looks and how it feels over time. In other words, we look beyond appearance and focus on how your smile supports your overall well-being.

dental veneers in Carlsbad

🧩 What Are Dental Veneers and How Do They Work?

In simple terms, dental veneers are thin porcelain or resin shells bonded to the front surface of the teeth to improve their shape, size, color, and alignment. Because of this, since each veneer is custom-designed, it fits seamlessly and naturally. As a result, most people around you simply see a natural-looking, refreshed smile.

In addition, the procedure is minimally invasive and preserves most of the natural tooth structure. Therefore, veneers are ideal for anyone seeking visible improvements without aggressive treatmentsor long orthodontic plans. As a result, most people around you simply see a natural-looking, refreshed smile.

Dental Veneers: Aesthetic and Oral Health

💎 Aesthetic Benefits of Dental Veneers

1. Immediate Smile Transformation

First, veneers correct discoloration, chips, wear, gaps, and asymmetry in just a few visits. Because they mimic real enamel, the results look natural and radiant.

As a result, you can experience a noticeable smile upgrade in a relatively short time

2. Long-Lasting, Stain-Resistant Results

Secondly, high-quality porcelain resists staining and abrasion. As a result, your smile stays bright for many years with proper care. Additionally, when you combine veneers with good hygiene and regular cleanings, you help protect your investment long term.

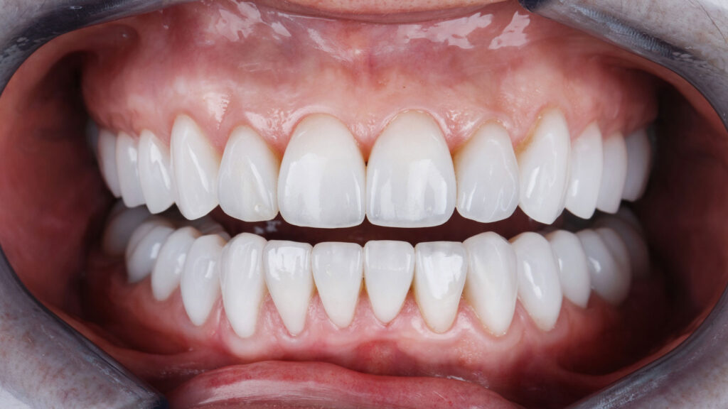
3. Fully Customized to Your Face

Additionally, your veneers are designed to match your facial features, lip line, and natural proportions. This ensures a balanced, personalized smile. Ultimately, the goal is a result that feels like “you,” just more confident.

smile transformed with veneers

🌿 Oral Health Benefits of Dental Veneers

1. Protect and Strengthen Weakened Teeth

First, porcelain veneers act as a protective layer, reinforcing teeth that are chipped, worn, or eroded. Consequently, they help reduce sensitivity and prevent further damage. In many cases, this added layer can stabilize teeth that might otherwise continue to wear down.

2. Improve Bite and Light Alignment

Additionally, by correcting minor misalignments veneers distribute bite forces more evenly. As a result, they can reduce premature wear and enhance chewing function. Moreover, a more balanced bite can feel more comfortable in everyday eating and speaking.

3. Support Better Dental Hygiene

Moreover, improved tooth shape and alignment make brushing and flossing more effective. In turn, plaque accumulation decreases. Because of that, veneers can indirectly support healthier gums and enamel over time.

4. Boost Emotional Well-Being

Beyond these clinical benefits a confident smile improves self-esteem and enhances the way you connect with others — which also benefits your overall wellness. Furthermore, many patients report feeling more at ease in photos, meetings, and social situations after treatment.

dentist applying veneers at plaster

🧠 Veneers and the Wellness Dentistry Approach

Importantly, at Smiles for Health, veneers are more than a cosmetic treatment. Instead, they are part of a comprehensive approach that prioritizes biocompatibility, functionality, and long-term oral health. In this way, veneers fit naturally into our wellness-focused philosophy, rather than being just a superficial change.

👉 Learn more about our veneer treatments in Carlsbad.

Dental Veneers: Aesthetic and Oral Health

🦷 Are Dental Veneers Right for You?

Veneers may be a great option:

  • Especially if you have deep stains

  • If you’re dealing with worn or fractured teeth

  • When you notice gaps between your teeth

  • If you have irregular shape in one or more teeth

  • When there is minor asymmetry in your smile

  • Or when you want a more harmonious smile without extensive orthodontics

In many situations, veneers can address several of these concerns at the same time.

Ultimately, a personalized consultation will determine the ideal plan for your needs.

before and after porcelain veneers

💬 In Summary

Dental veneers combine aesthetics and functional benefits, offering a safe, durable, and fully customized way to elevate your smile. At Smiles for Health, every smile design enhances both beauty and oral wellness.
In summary, veneers can support how your teeth look, how they function, and how you feel about your smile every day.

🦷 Ready to design the smile you’ve always wanted?

Your transformation begins with a personalized consultation.

Frequently Asked Questions

 Some temporary sensitivity is possible, but it’s usually mild and short-lived. In the office we control the gel strength and exposure time and use desensitizing products to keep you comfortable. If you feel any discomfort, we can adjust the protocol to better protect your teeth and gums.

Yes, you can, but first we need to check your enamel and gums. Some DIY methods can be abrasive or irritating, so we evaluate any damage and, based on that, tailor your professional whitening or recommend remineralizing products to keep the treatment safe and effective.

 

 Saltwater rinses and cold compresses are safest. Smiles for Health DDS notes that how to stop wisdom tooth pain while pregnant avoids strong medications. Gentle wisdom tooth pain relief and safe remedies for impacted wisdom tooth are key.

 

 Yes, clove oil can numb discomfort. Smiles for Health DDS highlights that how to stop wisdom tooth pain naturally may include oils. This provides temporary wisdom tooth pain relief but isn’t a permanent fix.

 

 Yes, if infection is present. Smiles for Health DDS explains that how to stop wisdom tooth pain caused by infection requires antibiotics. Long-term remedies for impacted wisdom tooth often involve extraction.

Home remedies last a few hours at most. Smiles for Health DDS notes that wisdom tooth pain relief through permanent treatment is necessary. How to stop wisdom tooth pain fully often means removal.

 

Avoid hard, crunchy, or spicy foods. Smiles for Health DDS explains that how to stop wisdom tooth pain involves a soft diet. Effective remedies for impacted wisdom tooth work better with gentle eating.

Table Of Content

Experience the Future of Dentistry at Smiles for Health!

Discover a new level of dental care at Smiles for Health! Enjoy bio-compatible materials, free 3D x-rays for new patients, and clear aligner pricing $700 lower than average.

Experience ultimate comfort with amenities like massage chairs and heavy blankets. With convenient hours and in-house financing, your smile is in good hands. Book now!

Related Blog Posts