
You’ve likely heard of Ozempic, a medication widely used for diabetes management and weight loss. But recently, a new term has been making headlines: “Ozempic teeth.” If you’re wondering, “what is Ozempic teeth?” and why it’s suddenly a topic of concern in dental circles, you’re not alone. This trending phrase refers to potential dental issues experienced by some individuals taking the drug. At Smiles for Health DDS, we’re staying current with all health-related topics that could impact your oral wellness, and we want to shed light on these potential Ozempic dental side effects and what they mean for your smile.
So, “what is Ozempic teeth?” and why is this term suddenly everywhere, especially on social media platforms? “Ozempic teeth” isn’t a formal medical diagnosis, but rather a widely trending, informal term used by patients and some healthcare professionals to describe a collection of reported dental issues and teeth problems from Ozempic. It emerged as anecdotal reports of dental complications began circulating among individuals using the medication.
Here’s an explanation of the term’s origin and how it became a viral dental concern:
- Origin of the Term: The term “Ozempic teeth” gained traction as more and more people started taking Ozempic (and similar GLP-1 receptor agonists) for weight loss and diabetes management. As its popularity grew, so did the number of patients reporting unusual dental problems during their treatment. These reports, often shared on social media and online forums, quickly led to the coining of the catchy, albeit unscientific, phrase “Ozempic teeth.”
- Viral Dental Concern: The reason it became a viral concern is largely due to the widespread use of Ozempic and the nature of social media. People are looking for answers and shared experiences. When individuals start noticing changes in their oral health – like dry mouth, increased sensitivity, or even new cavities – and connect it to a new medication, they often share their experiences. This creates a buzz and raises awareness, even if the direct causal link isn’t immediately clear or scientifically proven in every case. The phrase quickly became a shorthand for “dental issues potentially related to Ozempic use.”
- Focus on Dental Health: For us at Smiles for Health DDS, this trend highlights the crucial link between systemic health conditions, medications, and oral health. While the term itself isn’t a medical one, it points to a very real patient experience that needs to be addressed. It serves as an important reminder for both patients and dental professionals to be vigilant about monitoring oral health changes when new medications are introduced. It also prompts us to investigate potential Ozempic dental side effects more thoroughly.
Understanding what is Ozempic teeth is the first step in addressing any potential issues. Our team at Smiles for Health DDS is here to help you navigate these concerns and ensure your ongoing wellness dentistry remains a priority. If you’re using Ozempic and have noticed changes in your oral health, please don’t hesitate to contact us for an assessment. We are here to support your oral health journey.
Can Ozempic Cause Dental Side Effects?
When patients ask, “what is Ozempic teeth?”, they’re really trying to understand: can Ozempic cause dental side effects? While Ozempic primarily affects blood sugar regulation and appetite, its systemic actions can indeed have ripple effects throughout the body, including in your mouth. Many of the reported teeth problems from Ozempic are indirect consequences of the medication’s primary effects. At Smiles for Health DDS, we want to provide you with an overview of these potential oral health changes so you know what to look out for.
Here’s an overview of potential Ozempic dental side effects:
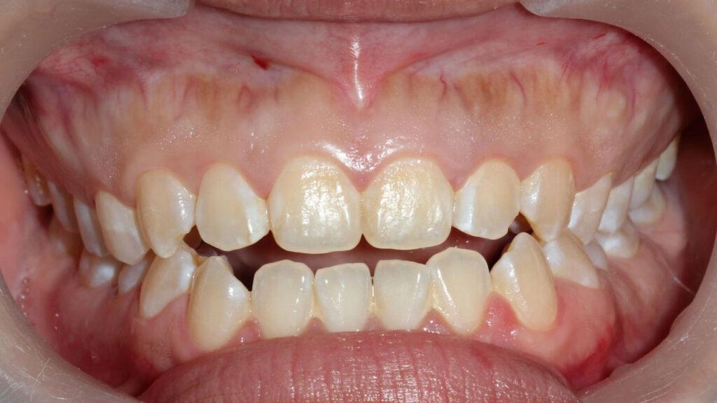
- Dry Mouth (Xerostomia): This is one of the most commonly reported dental side effects. Ozempic can lead to dehydration, and some individuals experience a significant reduction in saliva flow. Saliva is your mouth’s natural defense mechanism. It helps wash away food particles, neutralize acids, and contains minerals that remineralize (repair) tooth enamel. A persistently dry mouth drastically increases your risk for:
- Cavities: Without enough saliva to rinse away food and neutralize acids, bacteria thrive, leading to increased dental fillings and decay.
- Gum Issues (Gingivitis and Periodontitis): Reduced saliva also means less protection for your gums. This can lead to inflammation (preventive dentistry measures become even more critical), bleeding gums, and potentially more serious gum disease.
- Enamel Erosion and Sensitivity: Some individuals on Ozempic experience increased nausea and, in some cases, vomiting. Frequent exposure to stomach acid can severely erode tooth enamel, leading to tooth sensitivity (especially to hot, cold, or sweet foods) and making teeth more susceptible to decay. Even if overt vomiting isn’t an issue, persistent nausea can lead to subtle acid reflux, which can also impact enamel over time.
- Jaw Pain and TMJ Issues: While less directly linked, changes in eating habits, such as reduced food intake or a shift in the types of foods consumed, can sometimes indirectly affect jaw muscle function. Anecdotal reports of jaw pain or TMJ/TMD treatment related symptoms have surfaced, though more research is needed to establish a direct link.
- Changes in Diet and Oral Hygiene Habits: The medication’s effect on appetite can lead to altered eating patterns. While some changes might be beneficial for overall health, others could inadvertently affect oral health. For example, some individuals might graze more, or choose different types of foods. If these new patterns involve more frequent snacking on sugary or acidic foods, or if motivation for consistent oral hygiene (like regular brushing and flossing) dips due to feeling unwell, it can indirectly contribute to teeth problems from Ozempic.
It’s important to remember that not everyone on Ozempic will experience these side effects. However, if you are using Ozempic and notice any changes in your oral health, our team at Smiles for Health DDS encourages you to bring them to our attention immediately. We can work with you and your prescribing doctor to manage these Ozempic dental side effects and protect your smile as part of your overall wellness dentistry plan. If you’re experiencing any of these symptoms, schedule an emergency dentist appointment or your next exams and cleanings with us.
Why Might People on Ozempic Experience Teeth Problems?
Understanding “what is Ozempic teeth” requires delving deeper into the mechanisms behind these reported oral health issues. It’s not that Ozempic itself directly attacks your teeth; rather, the teeth problems from Ozempic often stem from its primary effects on the body, which can indirectly create a less-than-ideal environment in your mouth. At Smiles for Health DDS, we find that these indirect connections are why it’s vital for our patients to mitigate potential Ozempic dental side effects.
Here’s why people on Ozempic might experience teeth problems:
- Nausea and Vomiting (Acid Exposure): A common side effect of Ozempic is nausea, and for some, this can escalate to vomiting. When stomach acid frequently comes into contact with your teeth, it’s highly erosive to enamel. This can lead to significant enamel erosion over time, making teeth sensitive, dull, or more prone to cavities. Even chronic, low-level acid reflux, which can be exacerbated by medication, contributes to this problem.
- Reduced Appetite and Altered Eating Habits: Ozempic works by slowing stomach emptying and affecting satiety, leading to reduced appetite. This can lead to changes in dietary patterns. While some changes might be beneficial for overall health, others could inadvertently affect oral health. For example, instead of distinct meals, some might graze on small amounts of food throughout the day. More frequent eating, especially of sugary or acidic snacks, means more frequent acid attacks on teeth, giving them less time to recover. Also, changes in taste or tolerance might lead to choosing softer, stickier, or more acidic foods that cling to teeth or promote bacterial growth.
- Dehydration and Dry Mouth: Ozempic users often report increased thirst or dehydration, which directly translates to reduced saliva production – a condition known as xerostomia, or dry mouth. Saliva is fundamental to oral health. It washes away food particles and sugars, neutralizes harmful acids produced by bacteria, and contains minerals (calcium and phosphate) that help repair and remineralize tooth enamel. It also provides lubrication for chewing and speaking, and helps prevent gum irritation. A chronic lack of saliva significantly increases the risk of tooth decay (cavities), gum disease (preventive dentistry measures become crucial here), and fungal infections like thrush.
- Reduced Motivation for Oral Hygiene: If a patient is experiencing significant nausea or fatigue due to the medication, their motivation and consistency with daily oral hygiene routines (brushing twice a day, flossing daily) might decline. A lapse in these essential habits can quickly lead to plaque buildup, gingivitis, and increased risk of cavities.
The link between Ozempic and teeth problems is largely a result of these secondary effects. Recognizing these connections helps us at Smiles for Health DDS create proactive strategies for managing potential Ozempic dental side effects. Our team emphasizes the importance of good hydration, vigilant oral hygiene, and regular exams and cleanings to maintain your wellness dentistry while on medication. Don’t let medication side effects compromise your oral health; contact us to discuss personalized solutions.

Are These Dental Issues Backed by Research?
When we talk about “what is Ozempic teeth” and the various teeth problems from Ozempic, it’s natural to wonder: are these dental issues backed by research, or are they just anecdotal reports? This is a very important question, and it highlights the difference between real-world patient experiences and formal scientific studies. At Smiles for Health DDS, we always rely on the most current data, while also listening carefully to our patients’ experiences, as they often provide crucial early insights.
Here’s a look at anecdotal reports versus current clinical data regarding Ozempic dental side effects:
- Anecdotal Reports and Social Media Trends:
- The Origin of “Ozempic Teeth”: The term “Ozempic teeth” itself originated from a surge of anecdotal reports, largely shared on platforms like TikTok, Reddit, and patient forums. Individuals taking Ozempic (and similar GLP-1 medications like Wegovy or Mounjaro) began reporting a range of new or worsening oral health issues. These include persistent dry mouth, increased tooth sensitivity, new cavities, gum irritation, and in some more severe cases, reports of tooth loosening or chipping.
- Value of Anecdotal Evidence: While not scientific proof, these widespread anecdotal reports serve as a vital signal to the medical and dental communities. They indicate a pattern that warrants further investigation and prompt dentists to be more vigilant when treating patients on these medications. For us at Smiles for Health DDS, hearing these stories from our patients is incredibly important, as it helps us to identify potential issues early.
- Current Clinical Data and Scientific Research:
- Emerging Research, Not Yet Definitive: As of now, large-scale, long-term clinical trials specifically designed to study the direct causal link between Ozempic and severe dental problems like cavities or tooth loss are still emerging or limited. Initial clinical trials for Ozempic focused on its primary effects (blood sugar control, weight loss) and often didn’t highlight oral health as a major adverse event.
- Indirect Links are Supported: However, the indirect mechanisms by which Ozempic can affect oral health are well-understood and supported by general dental science:
- Dry Mouth (Xerostomia): Multiple studies and clinical observations confirm that dry mouth is a common side effect of GLP-1 agonists. Reduced saliva is a well-established risk factor for increased tooth decay and gum disease. This is perhaps the most significant scientifically acknowledged link between Ozempic and oral health issues.
- Nausea/Vomiting/Acid Reflux: These are recognized side effects of Ozempic. Frequent exposure of teeth to stomach acid from vomiting or reflux directly leads to enamel erosion, a known cause of sensitivity and increased cavity risk.
- Altered Diet/Nutrient Intake: While not directly caused by the drug, the appetite suppression can lead to changes in diet and potentially nutrient deficiencies, which can impact overall oral health.
- Dentists’ Observations: Many dental professionals, including our team at Smiles for Health DDS, are indeed observing an increase in these specific dental problems in patients who are taking Ozempic. While the drug may not be listed as directly causing “tooth decay” in its official information, the increased incidence of dry mouth and acid exposure it can induce are directly linked to these outcomes.
In essence, while “Ozempic teeth” isn’t an official diagnosis based on a large body of direct research specifically connecting the drug to new dental issues in randomized controlled trials, the known side effects of the medication (like dry mouth, nausea) are scientifically proven to significantly increase the risk of oral health problems. This means we treat the symptoms and mitigate the risks, focusing on proactive wellness dentistry strategies. If you have concerns, contact us to discuss the current understanding and your personal situation.
How Can You Protect Your Teeth While Taking Ozempic?
Understanding “what is Ozempic teeth” and the potential Ozempic dental side effects can feel a bit daunting, but the good news is that there are many effective ways to protect your teeth while taking this medication. Proactive measures are key to mitigating teeth problems from Ozempic. At Smiles for Health DDS, our approach to wellness dentistry means empowering you with the knowledge and tools to keep your smile healthy, no matter what medications you’re on.
Here’s how you can protect your teeth while taking Ozempic:
- Prioritize Hydration: This is paramount if you experience dry mouth, a common side effect.
- Sip Water Constantly: Drink plenty of water throughout the day, even if you don’t feel thirsty. Keep a water bottle handy.
- Stimulate Saliva: Chew sugar-free gum (especially those with xylitol) or suck on sugar-free lozenges. These can help increase saliva flow.
- Consider Saliva Substitutes: Over-the-counter artificial saliva sprays or gels can provide relief. Ask our team for recommendations.
- Avoid Dehydrating Beverages: Limit consumption of caffeine and alcohol, as they can worsen dry mouth.
- Boost Fluoride Protection: Fluoride is your enamel’s best friend, especially when facing increased risk of decay.
- Fluoride Toothpaste: Brush twice daily with a fluoride toothpaste.
- Fluoride Mouthwash: Consider incorporating an alcohol-free fluoride mouthwash into your daily routine for extra protection.
- Professional Fluoride Treatments: During your exams and cleanings at Smiles for Health DDS, we can apply professional-strength fluoride treatment to significantly strengthen your enamel.
- Master Your Oral Hygiene Routine: Consistency is crucial.
- Brush Thoroughly: Brush your teeth for two minutes, twice a day, using a soft-bristled brush.
- Floss Daily: Don’t skip flossing! This removes plaque and food particles from areas your toothbrush can’t reach, preventing decay between teeth and gum irritation.
- Gentle After Nausea/Vomiting: If you experience nausea or vomiting, do NOT brush your teeth immediately. Stomach acid softens enamel, and brushing too soon can cause erosion. Instead, rinse your mouth thoroughly with water or a baking soda solution (1 teaspoon baking soda in a glass of water) to neutralize the acid, then wait at least 30 minutes before brushing.
- Maintain Regular Dental Cleanings and Check-ups:
- Inform Your Dentist: Always let our team know that you are taking Ozempic. This allows us to be more vigilant in monitoring for potential Ozempic dental side effects.
- Frequent Visits: We might recommend more frequent exams and cleanings (e.g., every 3-4 months instead of 6) to catch any issues like developing cavities or gum inflammation early. This is a key part of our preventive dentistry approach for patients on medications.
- Manage Diet and Overall Health:
- Nutrient-Rich Diet: Even with reduced appetite, try to ensure your diet is rich in vitamins and minerals essential for oral health, like calcium and Vitamin D.
- Consult Your Doctor: Work closely with your prescribing doctor to manage any side effects like severe nausea or reflux that might impact your oral health. They might be able to adjust your dosage or recommend anti-nausea medications.
By incorporating these practices, you can significantly reduce your risk of developing teeth problems from Ozempic and maintain a healthy smile. Our team at Smiles for Health DDS is here to support you every step of the way. If you have concerns, don’t hesitate to contact us for personalized advice and care.

When Should You Speak to a Dentist About Ozempic Side Effects?
You’ve learned “what is Ozempic teeth” and how to proactively protect your smile. But even with the best efforts, some individuals may still experience noticeable changes. Knowing when to speak to a dentist about Ozempic side effects is crucial. Early detection and intervention are key to managing potential teeth problems from Ozempic and ensuring your oral health remains on track. At Smiles for Health DDS, we want you to feel comfortable reaching out to us with any concerns.
Here are some “red flags” to watch for and how to bring them up at your appointment:
- Persistent Dry Mouth: If your mouth feels consistently dry, sticky, or parched, even after trying to hydrate and use saliva-stimulating products, it’s a sign that your natural defenses are compromised. This is a major risk factor for new cavities and gum issues, and we need to address it.
- Increased Tooth Sensitivity: If you notice your teeth becoming more sensitive to hot, cold, sweet, or even air, it could indicate enamel erosion or the early stages of a cavity. This is a common complaint among those experiencing Ozempic dental side effects related to acid exposure.
- New Cavities or Worsening Decay: If you discover new dark spots on your teeth, experience toothaches, or find that old dental fillings are suddenly problematic, it’s essential to seek immediate dental care. The protective effect of saliva is diminished, making you more susceptible.
- Bleeding, Swollen, or Tender Gums: While gum inflammation can have many causes, if you notice your gums are red, swollen, bleed easily when brushing or flossing, or feel tender, it could be a sign of gingivitis or periodontitis. Dry mouth can exacerbate these conditions.
- Changes in Tooth Appearance: If your teeth appear duller, more translucent, or show signs of wear, particularly on the biting surfaces or near the gum line, it could indicate enamel erosion from acid reflux or frequent vomiting.
- Persistent Bad Breath: Unexplained bad breath (halitosis) that doesn’t go away with good brushing and flossing can often be a sign of chronic dry mouth or underlying bacterial imbalances.
- Jaw Pain or Discomfort: Although less directly linked to the medication’s oral effects, some individuals report new or worsening jaw discomfort. This might be related to changes in chewing patterns or even stress. If you experience jaw pain, clicking, or difficulty opening and closing your mouth, it’s worth exploring if you need TMJ/TMD treatment.
- Any Unusual Oral Symptoms: If you experience anything in your mouth that just doesn’t feel right, or if you have any other new or worsening oral symptoms that concern you, don’t hesitate to reach out.
How to Bring It Up at Your Appointment:
When you come for your exams and cleanings or a specific concern, be sure to:
- Inform Us About Your Medication: Clearly state that you are taking Ozempic (or any other new medications) and for what purpose. This crucial piece of information helps our team understand potential contributing factors to your symptoms.
- Describe Your Symptoms: Be specific about what you’re experiencing – for example, “My mouth feels constantly dry,” or “My front teeth have become very sensitive to cold.”
- Mention Related Side Effects: If you’ve had increased nausea, vomiting, or changes in appetite, share that information too. These are key indirect causes of teeth problems from Ozempic.
Prompt communication with your dentist is paramount for managing potential Ozempic dental side effects and ensuring your continued wellness dentistry. Don’t wait for a small issue to become a serious one or even an emergency dentist situation. Contact us at Smiles for Health DDS today to schedule your appointment and discuss your concerns. We are here to help you maintain a healthy smile while on Ozempic.
Frequently Asked Questions
What is Ozempic teeth and why is it a concern?
Ozempic teeth refers to dental issues linked to the use of Ozempic medication, including dry mouth and increased risk of cavities. Smiles for Health DDS explains these ozempic dental side effects and how to manage teeth problems from ozempic.
What are common teeth problems from Ozempic use?
Common teeth problems from ozempic include dry mouth, tooth decay, gum irritation, and sensitivity. Smiles for Health DDS highlights these as key ozempic dental side effects.
How does Ozempic cause dental side effects?
Ozempic can reduce saliva production, leading to dry mouth which increases bacteria growth and risk of decay. Smiles for Health DDS explains this mechanism related to what is ozempic teeth.
Can dry mouth from Ozempic lead to bad breath?
Yes, reduced saliva can cause bad breath and discomfort. Smiles for Health DDS advises hydration and oral care to counteract these ozempic dental side effects.
Are people taking Ozempic more prone to cavities?
Yes, decreased saliva and dry mouth can accelerate tooth decay. Smiles for Health DDS recommends regular dental check-ups to monitor teeth problems from ozempic.
What dental care tips help manage Ozempic dental side effects?
Good oral hygiene, staying hydrated, sugar-free gum, and fluoride treatments help. Smiles for Health DDS offers these tips to patients concerned about what is ozempic teeth.
Should I inform my dentist if I’m using Ozempic?
Yes, sharing your medication history helps dentists tailor care to address ozempic dental side effects effectively.
Can Ozempic cause gum disease?
Indirectly, yes. Dry mouth and bacterial buildup can increase the risk of gum inflammation. Smiles for Health DDS monitors gum health in patients with teeth problems from ozempic.
Is the dental damage from Ozempic reversible?
Early symptoms like dry mouth can be managed, but untreated decay requires dental intervention. Smiles for Health DDS encourages prompt care for ozempic dental side effects.
Can changing medications reduce Ozempic dental side effects?
Consult your doctor before making changes; alternatives may have different side effect profiles. Smiles for Health DDS stresses coordinated care for managing teeth problems from ozempic.
How soon after starting Ozempic might dental issues appear?
Symptoms can develop within weeks to months, depending on individual response.
Does Ozempic affect saliva quality as well as quantity?
Yes, it may reduce both, compounding oral health risks.
Are there specific foods to avoid to minimize Ozempic teeth problems?
Sugary and acidic foods increase decay risk and should be limited.
Can Ozempic use lead to tooth sensitivity?
Yes, enamel erosion and dry mouth can cause increased sensitivity.
What treatments can help restore oral health for those with Ozempic teeth?
Treatments include fluoride varnishes, saliva substitutes, and restorative dentistry as needed.