If you’re searching what is a dental emergency, start here: dental emergencies happen more often than most people think. In fact, American Family Physician reported that, in one survey, 22% of the general population experienced orofacial pain in the previous six months.

✅ What Is A Dental Emergency? 5 Questions To Help You Decide
😣 Are You In Severe Pain?
Severe pain (especially with bleeding) often signals an emergency.
🦷 Have You Lost A Tooth?
Fast treatment may help save the tooth.
😬 Do You Have Loose Teeth?
Adults should never have loose teeth. Even without pain, a loose tooth is a serious concern.
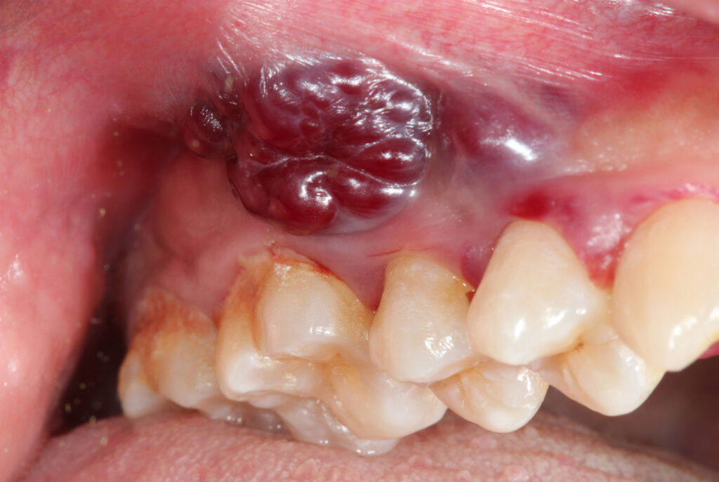
🧫 Do You Have An Infection?
An abscess or serious oral infection can become dangerous. Therefore, treatment should not wait.
🩸 Are You Bleeding From The Mouth?
Uncontrolled bleeding may also indicate an emergency.

⚠️ In General, What Is A Dental Emergency?
In general, a dental emergency is any dental problem that needs immediate treatment to:
- Stop bleeding,
- Relieve severe pain,
- Or save a tooth.
This can also include severe infections, which can become life-threatening if they spread. (For urgent care, start here: Emergency Dentistry.)

🛠️ Treatments For Common Dental Emergencies: What Your Dentist May Do
Emergency treatment depends on the situation and the type of damage. However, in many cases of severe toothache and chips or cracks, your dentist may need to treat infection and repair the tooth, which could involve:
- 🦷 Root Canal Treatment
- 🧩Dental Filling
- 🦷 Extraction: What To Expect During A Tooth Extraction
- 💧 Irrigation And Antibiotic Treatment (when appropriate)
On the other hand, if your tooth has been broken, knocked loose, or has come out completely, your dentist may need to perform:
- 🧩 Dental Filling
- 🦷 Root Canal Treatment
- 🪢 Splinting
- 🔁 Reimplantation
- 💊 Antibiotic Treatment (when appropriate)
If you think you’re dealing with a dental emergency, you don’t have to guess. At Smiles For Health, we’ll help you understand what’s urgent and get you the right care as quickly as possible—with a calm plan and clear next steps. 💛