When a tooth feels fragile—or looks more damaged than you’d like—a dental crowns can restore strength and confidence in a single plan. In other words, a crown doesn’t “just cover” a tooth; it helps you chew comfortably again while protecting what’s left of your natural tooth. At Smiles For Health DDS in Carlsbad, we use crowns to help patients keep teeth longer, avoid bigger problems, and feel good about their smile.

What Is a Dental Crown?
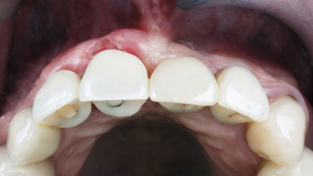
A dental crown is a custom “cap” that fits over a tooth to restore its shape, strength, and function. Therefore, it can protect a tooth that’s cracked, heavily filled, worn down, or treated with a root canal. Once placed, the crown becomes the new chewing surface—so you can eat, speak, and smile with more ease.
If you want a patient-friendly overview from a trusted authority, the American Dental Association explains what crowns do and when dentists recommend them here
When Do You Need a Dental Crown?
You may need a dental crown when a filling can’t safely support the tooth anymore. For example, large cavities, fractures, or repeated repairs can leave the tooth vulnerable. Moreover, crowns often finish treatment after root canal therapy, because the tooth can become more brittle over time.
Common reasons we recommend a crown include: 🦷
- A cracked or broken tooth that needs protection
- A tooth with a large filling and not enough healthy structure left
- A tooth after root canal therapy
- A worn tooth from grinding or heavy bite forces
- A crown placed on top of a dental implant for a natural look and feel

Types of Dental Crown Materials
Choosing the right crown material depends on your bite, the tooth location, and your goals. That said, we’ll guide you through the pros and cons so you don’t have to guess.
Porcelain or Ceramic Crowns
Porcelain crowns blend beautifully with natural teeth. Therefore, they’re a popular option for front teeth or visible areas where aesthetics matter most.
Zirconia Crowns
Zirconia crowns deliver strong durability with a more natural look than older metal options. In addition, they work well for back teeth where chewing pressure is higher.
Porcelain-Fused-to-Metal Crowns
These crowns combine strength and cosmetics. However, some patients prefer newer all-ceramic options depending on gumline visibility.
Metal Crowns
Metal crowns hold up extremely well under heavy chewing. Still, because they don’t match tooth color, we typically reserve them for less-visible molars.

What to Expect During the Dental Crown Procedure
Most crowns take two visits; however, the steps are straightforward:
- We examine the tooth and confirm a crown is the right solution.
- We shape the tooth and take an impression or digital scan.
- We place a temporary crown to protect the tooth.
- We cement your final crown and fine-tune the bite so it feels natural.
How Long Does a Dental Crown Last?
A dental crown often lasts 10–15 years—and sometimes longer—depending on the material, your bite, and home care. Moreover, habits like grinding, chewing ice, or using teeth as tools can shorten its lifespan.
To protect your investment: ✅
- Brush and floss daily around the crown
- Keep up with routine cleanings
- Wear a nightguard if you grind
- Avoid hard “stress foods” like ice and brittle candy

Can You Eat Normally After a Dental Crowns?
Yes—once the final crown is in place and your bite feels comfortable, you can usually eat normally. That said, we recommend avoiding very sticky or ultra-hard foods at first. If something feels “high” when you bite, let us know quickly—because a small adjustment can make a big difference.
Dental Crowns Risks and Common Concerns
Most patients do great with crowns; still, a few issues can happen:
- Temporary sensitivity (often improves as the tooth settles)
- Bite feels off (usually fixed with a quick adjustment)
- Crown loosens or chips (rare, but we can evaluate and repair/replace)
If you ever feel sharp pain, swelling, or the crown moves, contact us promptly.

How Much Does a Dental Crowns Cost?
Crown cost depends on the material, the tooth involved, and whether other treatment is needed first (like a build-up or root canal). Therefore, the best next step is an exam so we can give you clear options—plus help you understand insurance coverage.
How to Care for a Dental Crowns
A dental crown doesn’t require anything “special,” but it does need consistent care. In addition to brushing and flossing, schedule regular checkups so we can monitor the crown margins and gum health.

When Should You Replace a Dental Crowns?
Consider replacement if you notice:
- A loose feeling or shifting
- A visible crack or chip
- Pain when chewing
- Gum irritation around the crown
- Dark edges or decay near the crown line
If you think you may need dental crowns—or you have one that doesn’t feel right—schedule a consultation with Smiles For Health DDS in Carlsbad. We’ll explain your options clearly and help you choose what fits your smile and your comfort.