No one wants yellow teeth. Yet it happens. And it can feel uncomfortable. If you’re searching remove yellow stains Carlsbad, you likely want a real solution. Not another product that overpromises.
Yellowing looks different for everyone. Still, some causes show up often. People notice stains from coffee, tea, and soda. Tobacco can stain teeth too. Inconsistent brushing can also make discoloration worse. Sometimes genetics play a role. Certain medications and health conditions can also change tooth color.
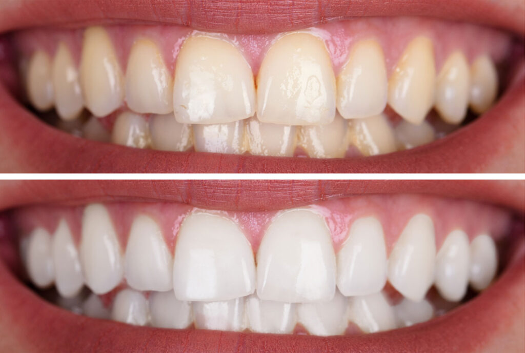
So what options do you have for removing yellow tooth stains?

✨ Treatments to Whiten Your Teeth (Remove Yellow Stains Carlsbad)
Assuming you’ve tried over-the-counter products such as whitening toothpastes and mouthwashes to no avail, one (or both) of the following treatments offered by Dr. Zorro may be the perfect solution:
⚡ Professional Teeth Whitening (Zoom®)
For discoloration caused by foods, beverages, and/or tobacco products, professional-grade teeth whitening can often provide an excellent smile enhancement that goes beyond over-the-counter options. At our practice, Dr. Zorro utilizes in-office Zoom® whitening, which is formulated to brighten teeth by several shades in as little as one hour.
🦷 Porcelain veneers in Carlsbad for Deep Yellow Stains
For deeper yellowing resulting from genetics, medications, and/or other factors, porcelain veneers may be the ideal solution. Custom-designed by Dr. Zorro, veneers bond to the front surface of your teeth and can be colored to achieve the exact shade of white you desire.
If any other cosmetic concerns are present—such as chips, gaps, minor misalignments, and more—porcelain veneers can help address those concerns at the same time.

✅ Next steps in Carlsbad
To learn more about Zoom® teeth whitening or porcelain veneers—or if you live in the Carlsbad, CA area and want to schedule an appointment with Dr. Zorro to find out which treatment would be best for you—please contact Smiles For Health. We’re happy to help.