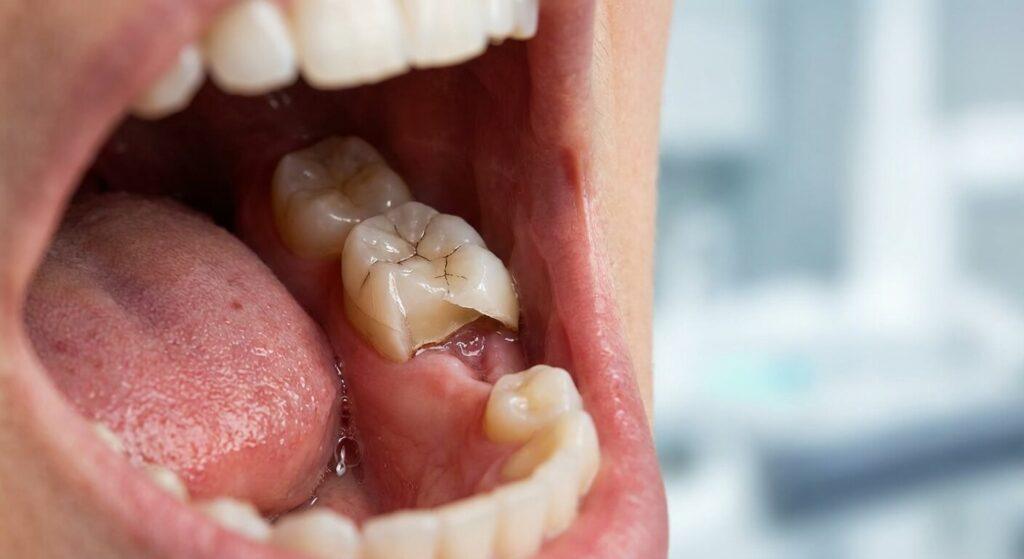
It’s a frustrating and often painful experience when a dental crown breaks or chips, leaving a sharp edge that irritates your tongue or cheek. The reason a broken tooth crown feels so sharp is a combination of two factors: the material of the crown and the way it breaks. Modern dental crowns are made from durable materials like porcelain or zirconia, which are designed to be strong and long-lasting. However, when these materials fracture, they don’t simply crumble; they create a jagged, uneven edge. This new, rough surface can be as sharp as glass, which can easily cut or rub against the soft tissues in your mouth. This is why a broken crown can feel so irritating and uncomfortable. The feeling is not a minor inconvenience; it’s a real issue that needs to be addressed promptly to prevent further injury.
- The durable materials used in crowns, like porcelain or zirconia, create jagged edges when they fracture.
- These sharp edges can easily cut or irritate the sensitive soft tissues of your mouth, such as your tongue or cheek.
- The feeling is a clear sign of a dental problem that requires professional attention.
When you’re trying to figure out how to rid a sharp broken crown of tooth, it’s important to understand that the feeling of sharpness is a warning sign. It’s your body’s way of telling you that the protective barrier of the crown has been compromised. The sharp edge is not just a nuisance; it’s a potential source of pain and infection. It can cause a small sore or ulcer to develop on your cheek or tongue, which can be very painful and slow to heal. The jagged edge can also allow bacteria to get underneath the crown, which can lead to decay or infection in the remaining tooth structure. We want to help you avoid this. Our team at Smiles for Health DDS is dedicated to providing quick and effective solutions for a broken crown to prevent these problems from happening. We can help you with other cosmetic issues such as smile makeovers and dental bonding to help restore your confidence.
The pressure from a sharp crown can also cause irritation to the gums surrounding the tooth, leading to inflammation and swelling. This can make the area even more sensitive and painful. It’s a chain reaction that starts with a simple chip or crack and can escalate into a much bigger problem. That’s why we always recommend addressing a broken crown as soon as possible. Delaying treatment can make fixing a broken tooth crown more complicated and costly in the long run. We are here to help you get your smile back to its original beauty and strength. If you are experiencing pain or discomfort from a broken crown, our team at Smiles for Health DDS is ready to help you with a variety of dental services, from onlays and inlays to dental crowns. We are committed to helping you find relief and restore your oral health. We can also help you with a cosmetic dentistry consultation to discuss your options for a beautiful smile.

What Can You Do Immediately to Ease Discomfort?
A broken crown can be a sudden and painful surprise, but there are a few things you can do immediately to ease your discomfort while you wait for your dental appointment. The first and most important step is to call your dentist. Once you have an appointment, you can focus on managing the pain and protecting your mouth. The most effective at-home solution for a sharp edge is to cover it with dental wax or a small piece of sugar-free chewing gum. This creates a temporary, smooth barrier between the jagged crown and your tongue or cheek, which can provide instant relief from irritation and cuts. This simple trick can make a big difference while you are waiting for a professional to help with fixing a broken tooth crown.
- Call your dentist for an immediate appointment.
- Cover the sharp edge with dental wax or sugar-free gum.
- Use over-the-counter pain relievers to manage any pain or swelling.
Another way to manage the discomfort is to take an over-the-counter pain reliever, such as ibuprofen or acetaminophen, as directed. This can help to reduce any pain or swelling in the area. You can also rinse your mouth gently with warm salt water to help soothe any irritation and keep the area clean. It’s important to avoid hot or cold foods and drinks, as they can cause a jolt of pain to the exposed tooth underneath the crown. Our team at Smiles for Health DDS understands the urgency of a broken crown and will do our best to get you in for an appointment as soon as possible. We are here to help you with all your dental needs, from a root canal to a dental extraction.
You should also be careful about what you eat. Try to stick to soft foods that don’t require a lot of chewing. Avoid hard, crunchy, or sticky foods that could further damage the crown or cause more pain. This is a very important step to take to prevent more problems from happening. While you are waiting for your appointment, you should also avoid chewing on the side of your mouth with the broken crown. This will help you to prevent further damage to the crown and the tooth underneath it. At Smiles for Health DDS, we want you to be as comfortable as possible. We are committed to providing you with the best care and to help you with any dental problems you may have. We can also help you with dental bridges or dental implants if you have a missing tooth. We can also help with other general dentistry services to ensure you have a healthy smile. Our team is here to support you through every step of your dental journey. When you have an emergency, we are here for you and you can contact us today for help.
Can Dentists Smooth or Repair a Sharp Crown?
Absolutely. A dentist is the only person who can properly address a sharp broken crown. The most common and effective solution is a repair for damaged dental crown. If the chip or crack is minor, your dentist may be able to simply smooth the jagged edge. This is a quick and painless procedure that can provide immediate relief. The dentist will use a special dental polishing tool to carefully buff away the sharp edges, making the crown smooth and comfortable again. This is a great solution for minor chips and cracks. In some cases, if a small piece of the crown has broken off, your dentist may be able to use a dental bonding material to fill the gap and restore the crown’s shape.
- A dentist can smooth a minor chip or crack with a special polishing tool.
- Small cracks can be repaired with dental bonding material.
- A replacement crown is often the best long-term solution for significant damage.
However, if the crown has a larger fracture or has come off completely, a new crown will likely be needed. This is often the best long-term solution, as a significantly damaged crown cannot provide the necessary protection for the underlying tooth. When a new crown is needed, your dentist will take an impression of your tooth and send it to a dental lab to create a custom-made crown that fits your mouth perfectly. Our team at Smiles for Health DDS is equipped with the latest technology to ensure that your new crown is a perfect match in both color and shape. We are dedicated to providing a comfortable and effective experience when you come in for a new crown. We can also help you with children’s dentistry for the youngest members of your family.
When you need a repair for damaged dental crown, it’s a good idea to seek help from a professional. Trying to fix it yourself with at-home kits is a bad idea and can lead to more serious problems. These kits may contain materials that can harm your tooth or gum, and they won’t provide a long-lasting or safe solution. This is why you should always leave this to a professional. The underlying tooth may also be damaged, and a dentist can assess the situation to make sure that the tooth is healthy enough to support a new crown. Our team at Smiles for Health DDS is committed to providing the best possible care to help you restore your smile and confidence. We can also help you with clear aligners and a range of cosmetic services to give you the smile you have always wanted. We are a team that is committed to your oral health and well-being. We can also help with oral cancer screenings to make sure your oral health is on track. Don’t wait to get help for a broken crown; contact us today to schedule an appointment.

What Long-Term Treatments Fix a Broken Crown?
While temporary fixes like dental wax can offer immediate relief, they are not a substitute for professional dental care. For a long-term solution to a broken crown, you’ll need a dentist’s help to truly rid a sharp broken crown of tooth. The best course of action depends on the extent of the damage. If the damage is minor, such as a small chip, a simple polishing or smoothing procedure may be all that’s needed. Your dentist can carefully file down the jagged edge, making it smooth and comfortable again. This is a quick and effective way to deal with a small fracture. If a slightly larger piece has broken off, your dentist may be able to use a dental bonding material to rebuild the missing part of the crown, restoring its shape and function.
- For minor chips, a dentist can polish and smooth the sharp edges.
- Dental bonding can be used to rebuild a small broken piece of a crown.
- In many cases, a new crown is the best long-term solution.
However, in many cases, especially when the crown has a significant fracture or has come off completely, the best and most durable solution is a new crown. A new crown provides a complete, long-term repair for damaged dental crown. When you get a new crown, the dentist will take an impression of your tooth to create a custom-made crown that fits perfectly and matches the rest of your teeth. The new crown will be strong and durable, providing the necessary protection for the underlying tooth. This is a great way to ensure that your tooth is protected for years to come. Our team at Smiles for Health DDS is equipped with the latest technology to ensure that your new crown is a perfect match. We can also provide other services, such as dental bridges or dental implants, to fill in any gaps you may have from a broken or missing tooth.
Beyond getting a new crown, there are other considerations for long-term oral health. Your dentist will also want to assess why the crown broke in the first place. Was it from teeth grinding, a hard food, or was the crown simply old? Identifying the cause can help prevent future damage. For example, if you grind your teeth, you might benefit from a night guard. We can also help with TMJ and TMD treatment to address any issues you may have. We also provide other general dentistry services to ensure your mouth stays healthy and strong.
- If the crown broke from grinding, a night guard can be a great solution.
- A professional assessment can help prevent future damage.
- A new crown provides the necessary protection for the underlying tooth.
Our team at Smiles for Health DDS is committed to providing a comprehensive approach to your dental care. We don’t just fix the problem; we look for the underlying cause to ensure your long-term oral health. We believe in providing the best solutions to our patients, and we are dedicated to helping you with all of your dental needs. We are here to help you get the smile you have always wanted with our smile makeover services. Our number one goal is to provide you with a long-term solution. We are the team that you can trust to help you get your oral health back on track and we invite you to contact us today for help.
How Much Does Crown Repair or Replacement Cost?
One of the first things on people’s minds after a broken crown is the cost of fixing a broken tooth crown. The price can vary widely depending on a few key factors, including the extent of the damage, the material of the crown, and whether you need a simple repair or a full replacement. A minor repair, such as smoothing a sharp edge or a small bonding procedure, is generally much less expensive than a full crown replacement. These simple procedures are quick and often only require one visit. We understand that cost is a major concern for many people, and we are committed to providing transparent pricing and working with you to find a solution that fits your budget.
- Minor repairs like smoothing or bonding are generally more affordable than a full replacement.
- The cost is influenced by the material of the crown and the complexity of the procedure.
- Most dental insurance plans cover a significant portion of crown procedures.
A full crown replacement is a more significant procedure and therefore costs more. The price of a new crown also depends on the material used. Porcelain-fused-to-metal crowns are often more affordable than all-porcelain or all-zirconia crowns, which are more aesthetically pleasing and durable. It’s important to talk to your dentist about the pros and cons of each material to find the best option for you. Our team at Smiles for Health DDS can provide you with a full cost estimate before we begin any work, so you’ll know exactly what to expect. We believe in being transparent with our patients and providing the best possible care. This is why we are committed to providing the best solutions for a repair for damaged dental crown. We can also help you with a range of services from dental fillings to dental implants to fill in any gaps you may have from a broken or missing tooth.
Most dental insurance plans cover a significant portion of the cost of a crown repair or replacement, as it is considered a restorative procedure that is necessary for your health. However, the exact amount of coverage will depend on your specific plan. Our team at Smiles for Health DDS will work with your insurance provider to help you understand your benefits and maximize your coverage. We can also discuss payment options and financing plans to make sure you get the care you need without a financial burden. We are dedicated to making dental care accessible to everyone. We want you to be able to get the dental care you need without the stress of finances. We can even provide a cosmetic dentistry consultation to discuss your options for a beautiful smile. Our goal is to help you with all of your dental needs. We can also help you with general dentistry needs to ensure your oral health is on track. We are committed to helping you with a complete smile makeover.
When Should You Seek Emergency Dental Help?
While a sharp broken crown is certainly uncomfortable, it’s not always a dental emergency. However, there are specific situations where you need to seek immediate help to rid a sharp broken crown of tooth. If the broken crown has left the underlying tooth sensitive to air or temperature, and the pain is severe and persistent, you should call an emergency dentist right away. This could be a sign that the fracture has exposed the tooth’s nerve, which requires immediate attention. Another clear sign of an emergency is if the broken crown is causing significant bleeding or swelling in your mouth. This could be a sign of a more serious infection or trauma.

- You should seek emergency dental care if you have severe, persistent pain from an exposed nerve.
- If the broken crown is causing significant bleeding or swelling, it’s a sign of a dental emergency.
- A loose or completely dislodged crown requires immediate professional attention.
A broken crown can also be a dental emergency if it has left the tooth so damaged that it is loose or completely dislodged. If you have a broken tooth or a crown that has come off, you should seek immediate help to prevent further damage to the tooth or the surrounding area. Our team at Smiles for Health DDS is equipped to handle dental emergencies and can provide you with the prompt care you need. We understand that these situations can be stressful, and we are committed to providing a calm and supportive environment. This is why we want to provide you with the best solutions for fixing a broken tooth crown.
- If you have a broken tooth or a crown that has come off, you should seek immediate help.
- We have an emergency dentist on staff for these types of situations.
- We want you to have a pain-free life and to not have to worry about your teeth.
If you are unsure whether your situation is an emergency, it’s always better to be safe than sorry. We encourage you to call our office and describe your symptoms. Our compassionate team at Smiles for Health DDS can advise you on the best course of action and schedule an emergency appointment if needed. We are dedicated to providing the best care and to making sure you are comfortable and pain-free. We can even help you with dental bonding to help with the cosmetic side of things after you have fully recovered from your emergency. We are committed to helping you with all your dental needs. We are ready to help you with a long-term repair for damaged dental crown and we invite you to contact us today for help.
Frequently Asked Questions
How to rid a sharp broken crown of tooth quickly at home before seeing a dentist?
Dental wax or sugarless gum can temporarily cover sharp edges. Smiles for Health DDS advises that how to rid a sharp broken crown of tooth permanently requires professional fixing a broken tooth crown. Only repair for damaged dental crown at a clinic can restore safety and function.
Can fixing a broken tooth crown be done in a single dental visit?
Yes, many cases can be repaired the same day. Smiles for Health DDS explains that how to rid a sharp broken crown of tooth often involves smoothing or bonding. Same-day repair for damaged dental crown is possible depending on severity
What are the most common options for repair for damaged dental crown?
Common methods include bonding, reshaping, or replacing the crown. Smiles for Health DDS notes that how to rid a sharp broken crown of tooth depends on chip size. Fixing a broken tooth crown sometimes requires a full replacement.
Can pain mean urgent repair for damaged dental crown is needed?
Yes, pain signals underlying damage. Smiles for Health DDS stresses that how to rid a sharp broken crown of tooth with pain requires immediate care. Fixing a broken tooth crown protects against further problems.
How long does fixing a broken tooth crown usually take?
Simple repairs can take less than 30 minutes, while replacements take longer. Smiles for Health DDS explains that how to rid a sharp broken crown of tooth depends on procedure choice. Repair for damaged dental crown is efficient but varies per case.
Is filing down sharp edges part of repair for damaged dental crown?
Yes, dentists may smooth the edge to stop irritation. Smiles for Health DDS shares that how to rid a sharp broken crown of tooth often starts this way. Fixing a broken tooth crown might later involve more permanent repair
Can fixing a broken tooth crown prevent cuts on the tongue or cheek?
Yes, repairing stops soft tissue injuries. Smiles for Health DDS emphasizes that how to rid a sharp broken crown of tooth quickly avoids painful cuts. Repair for damaged dental crown ensures safety and comfort.
How to rid a sharp broken crown of tooth if the crown is loose?
Loose crowns should never be re-glued at home. Smiles for Health DDS explains that fixing a broken tooth crown requires professional materials. Proper repair for damaged dental crown avoids infection or further breakage.
Can I eat normally before fixing a broken tooth crown?
No, avoid hard or sticky foods. Smiles for Health DDS clarifies that how to rid a sharp broken crown of tooth safely means eating soft foods until repair. Proper repair for damaged dental crown restores full chewing ability.
What does Smiles for Health DDS recommend for long-term repair for damaged dental crown?
Smiles for Health DDS often recommends replacement if cracks are deep. How to rid a sharp broken crown of tooth permanently may require new materials. Fixing a broken tooth crown ensures strength and protection.
Are broken crowns more common on back teeth than front teeth?
Yes, back teeth endure more chewing force, making them more prone to crown damage.
How long does a typical dental crown last before breaking?
Most crowns last 10–15 years, but wear and accidents can shorten their lifespan.
Can teeth grinding cause crowns to break more easily?
Yes, constant grinding puts stress on crowns, increasing the chance of cracks or sharp edges.
Are porcelain crowns more likely to chip than metal crowns?
Yes, porcelain can chip more easily, while metal is more durable but less aesthetic.
What happens if I delay repairing a damaged crown?
Delaying can cause pain, infection, or further tooth damage, requiring more extensive treatment.