
When you ask, “Are gaps in your teeth bad?”, the first step is often understanding why those gaps are there. Spaces between teeth, often called diastemas, can develop for a variety of reasons, some completely natural and others indicating underlying issues that might lead to dental gap risks. At Smiles for Health DDS, identifying the cause of your problems with spaced teeth helps us determine the best course of action for your wellness dentistry.
Here’s what causes gaps between teeth:
- Natural Spacing and Tooth Size: Sometimes, gaps are simply a result of natural spacing. If your jawbone is larger than the size of your teeth, or if your teeth are naturally small, there might be extra space that leads to gaps. This is often the case with “peg laterals” (small, peg-shaped side teeth next to the front teeth) which can create gaps.
- Missing Teeth: If a tooth is congenitally missing (meaning it never developed) or has been lost due to dental extractions or injury, the surrounding teeth can gradually shift into the open space, creating new gaps or widening existing ones. This is a common cause for new problems with spaced teeth appearing over time.
- Large Labial Frenum: The labial frenum is the piece of tissue that connects your upper lip to your gum, right between your two front teeth. If this tissue is unusually large or extends too far down between the front teeth, it can prevent them from coming together, creating a common gap called a “diastema.” This is a frequent answer when people ask “are gaps in your teeth bad” about a front tooth gap.
- Thumb Sucking or Pacifier Use: In childhood, prolonged habits like thumb sucking or pacifier use can exert pressure on the front teeth, pushing them forward and creating gaps. This is especially true if these habits continue past the age when permanent teeth start to erupt.
- Tongue Thrust: This is an oral habit where the tongue pushes forward against the front teeth, especially when swallowing. Over time, this constant pressure can gradually push the teeth apart, leading to gaps. It’s often something people aren’t even aware they’re doing.
- Gum Disease (Periodontal Disease): Advanced gum disease, if left untreated (which might require exams and cleanings to identify early), can damage the bone and tissues that support your teeth. As the bone deteriorates, teeth can become loose and may drift, leading to new gaps or larger spaces between them. This is one of the more serious dental gap risks.
- Incorrect Swallowing Reflex: Similar to tongue thrust, an improper swallowing reflex where the tongue presses against the front teeth rather than the roof of the mouth can lead to gradual tooth movement and gap formation.
Understanding the root cause is essential for effective treatment. Our team at Smiles for Health DDS can accurately diagnose why you have gaps and discuss whether these are merely cosmetic or indicate potential dental gap risks requiring attention as part of your comprehensive wellness dentistry plan. If you’re concerned about spaces in your smile, please contact us for an evaluation.
Are Tooth Gaps Harmful to Your Dental Health?
So, “Are gaps in your teeth bad?” When it comes to your dental health, the answer isn’t always a simple yes or no. While some small gaps might be purely cosmetic and pose no health issues, other gaps, especially larger ones or those that have appeared recently, can indeed lead to significant dental gap risks and real problems with spaced teeth. At Smiles for Health DDS, we look beyond just aesthetics to ensure your entire oral system is healthy and functioning properly.
Here are the ways tooth gaps can be harmful to your dental health:
- Food Traps: This is one of the most common and immediate problems with spaced teeth. Gaps create ideal little pockets where food particles can easily get stuck. Even with diligent brushing, these areas can be tricky to clean thoroughly. Trapped food then becomes a breeding ground for bacteria, leading to further issues.
- Increased Risk of Cavities (Tooth Decay): Because gaps can act as food traps, they make certain areas of your teeth more difficult to clean. This allows plaque and bacteria to accumulate more easily, significantly increasing the risk of developing cavities (dental fillings would then be needed) on the sides of the teeth that face the gap. Regular exams and cleanings become even more important.
- Gum Issues (Gingivitis and Periodontitis): The same food and plaque accumulation that leads to cavities can also irritate your gums. When food gets routinely trapped in gaps, it can cause gum inflammation (gingivitis), leading to redness, swelling, and bleeding. If left untreated, this can progress to more serious gum disease (periodontitis), which can damage the supporting bone around your teeth, potentially leading to tooth loosening or even dental extractions. This is a major dental gap risk.
- Bite Misalignment (Occlusal Issues): Gaps can sometimes be a sign of, or contribute to, bite problems. If teeth aren’t positioned correctly due to spacing, your upper and lower teeth might not meet properly when you bite down. This can put uneven stress on certain teeth, leading to excessive wear, chipping, or even jaw pain (TMJ/TMD treatment might be necessary). An improper bite can also affect how you chew and speak.
- Speech Issues: Larger gaps, especially between the front teeth, can sometimes affect speech, leading to lisps or whistling sounds as air escapes through the spaces.
- Protection of Neighboring Teeth: When a gap is caused by a missing tooth, the teeth on either side of the space can shift, tilt, or super-erupt (grow longer), impacting your bite and creating new problems. This can also make those adjacent teeth more vulnerable.
While a small, stable gap might not be harmful, any new gaps, widening gaps, or gaps accompanied by discomfort, food trapping, or changes in your bite should be evaluated. Our team at Smiles for Health DDS can help you understand your specific dental gap risks and how to effectively manage any problems with spaced teeth as part of your overall wellness dentistry plan. If you’re concerned about the health implications of your tooth gaps, please contact us for an expert opinion.
Do Gaps Make Teeth More Prone to Cavities or Gum Disease?
It’s a really common question once people understand the basics of “Are gaps in your teeth bad?” – specifically, do these spaces make your teeth more prone to serious issues like cavities or gum disease? The direct answer is often yes, but it’s less about the gap itself and more about how it affects your daily cleaning routine. At Smiles for Health DDS, we consistently emphasize that maintaining excellent oral hygiene is the best defense, especially when dealing with potential dental gap risks and problems with spaced teeth.
Here’s how spacing can influence hygiene effectiveness and bacterial buildup, leading to cavities or gum disease:
- Hygiene Effectiveness is Compromised:
- Hard-to-Reach Areas: Gaps, particularly those that are not perfectly straight or are irregular in shape, create nooks and crannies that are notoriously difficult to clean with a standard toothbrush. Bristles might pass over the gap rather than cleaning the sides of the teeth facing it.
- Food Impaction: As mentioned before, gaps are natural “food traps.” Bits of food can easily get wedged into these spaces. This stuck food, if not removed quickly and effectively, begins to break down, releasing acids and creating a feast for bacteria.
- Bacterial Buildup and Plaque Accumulation:
- Plaque Formation: When food particles are consistently left in gaps, bacteria in your mouth flock to them. These bacteria then form plaque – a sticky film that adheres to your teeth. In gaps, plaque can accumulate rapidly and become denser because it’s less disturbed by brushing or chewing.
- Acid Production (for Cavities): The bacteria in plaque feed on sugars from food and produce acids as a byproduct. These acids then attack your tooth enamel, gradually eroding it and leading to the formation of cavities (dental fillings are needed to fix them). Because gaps make plaque removal difficult, the acid attack is prolonged and more intense in these areas.
- Gum Irritation (for Gum Disease): Plaque that builds up along the gum line in or around gaps irritates the gum tissue. This leads to inflammation, redness, swelling, and bleeding – the initial signs of gingivitis. If this inflammation persists and spreads below the gum line (often requiring deeper exams and cleanings), it can develop into periodontitis, which damages the bone and ligaments supporting your teeth, a significant dental gap risk.
- Lack of Natural “Self-Cleansing”: Normally, when you chew, food passes over and between your teeth, helping to naturally dislodge some particles. However, large or awkwardly shaped gaps can disrupt this natural self-cleansing action, allowing more debris to remain.
So, while having a gap doesn’t automatically mean you’ll get cavities or gum disease, it significantly increases your risk if you don’t adjust your oral hygiene routine. Special tools like interdental brushes, floss threaders, or water flossers might be necessary to thoroughly clean these problematic areas.
If you have gaps and are concerned about these potential problems with spaced teeth, our team at Smiles for Health DDS can evaluate your specific situation and recommend tailored preventive dentistry strategies to minimize your dental gap risks and maintain your overall wellness dentistry. Contact us to ensure your smile stays healthy and strong.

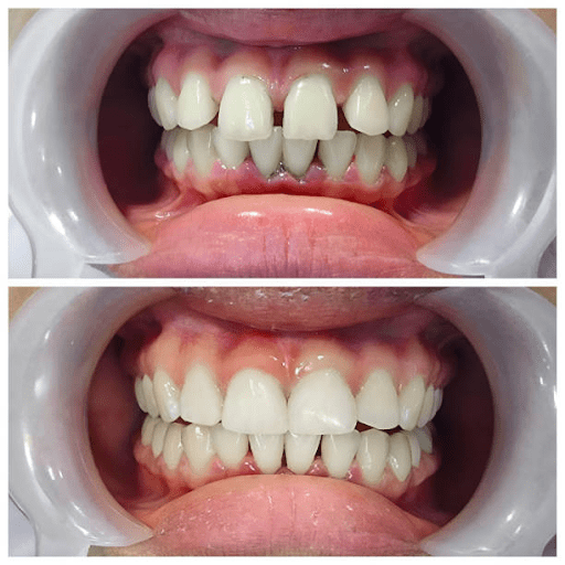
When Should Gaps Be Closed With Braces or Aligners?
You might be asking, “Are gaps in your teeth bad?” and specifically, when should you consider getting them closed with braces or aligners? While some gaps are purely cosmetic and don’t cause any problems, others can lead to significant dental gap risks that make professional intervention a good idea. At Smiles for Health DDS, our team looks at the full picture of your oral health to determine if closing the gaps is truly beneficial for your wellness dentistry.
Here are the functional, speech, or bite-related reasons to consider correction for problems with spaced teeth:
- Bite Misalignment (Occlusal Issues): This is a primary functional reason. If gaps cause your upper and lower teeth to meet incorrectly when you bite down, it can lead to an uneven bite. An improper bite can put excessive pressure on certain teeth, causing:
- Abnormal Wear: Some teeth may wear down faster than others, leading to sensitivity or even requiring dental crowns or onlays and inlays to restore them.
- Tooth Mobility: Teeth under uneven stress can become loose over time.
- Jaw Pain: A misaligned bite can contribute to issues with your temporomandibular joint (TMJ), leading to jaw pain, headaches, or clicking sounds (TMJ/TMD treatment might be needed). Closing the gaps can help create a balanced bite and alleviate these issues.
- Speech Difficulties: Larger gaps, especially between the front teeth, can sometimes interfere with speech. Air might escape through the gaps when you form certain sounds, leading to a lisp, whistling sound, or other speech impediments. If a gap is impacting your clarity of speech, orthodontics can often help.
- Food Trapping and Increased Risk of Decay/Gum Disease: While we discussed this as a potential harm, it’s also a functional reason for correction. If gaps consistently trap food that’s difficult to remove even with diligent cleaning, leading to frequent cavities (dental fillings becoming a regular occurrence) or recurrent gum inflammation (gingivitis or even periodontitis), then closing the gaps can make your oral hygiene significantly more effective. This reduces long-term dental gap risks.
- Drifting or Shifting Teeth: If your gaps are due to missing teeth or other factors that cause neighboring teeth to drift, tilt, or super-erupt (move out of alignment), braces or aligners can reposition them to prevent further problems and maintain proper alignment. This often happens after a dental extraction if the space isn’t addressed.
- Gum Recession or Bone Loss: In some cases, severe spacing or the forces on misaligned teeth can contribute to gum recession or even bone loss around certain teeth. Closing the gaps can stabilize the teeth and potentially improve gum health.
- Aesthetics and Confidence: While not strictly “functional,” the impact on self-confidence is a very valid reason. If you feel self-conscious about your gaps and it affects your willingness to smile, professional correction can be a life-changing decision for your smile makeovers.
Ultimately, whether your gaps should be closed depends on a thorough evaluation by our team at Smiles for Health DDS. We can assess your bite, oral hygiene effectiveness, and discuss your personal goals to help you decide if Invisalign, SureSmile aligners, or traditional orthodontics are the right solution for your problems with spaced teeth. We’re committed to improving your dental health and confidence, so contact us to find out more.
Can Gaps Be Part of a Healthy Smile?
After all this talk about “Are gaps in your teeth bad?” and the dental gap risks, you might be wondering, can gaps actually be part of a healthy smile? The answer is a definite yes! Not all problems with spaced teeth require intervention. Some gaps are perfectly harmless and simply contribute to the unique charm of a person’s smile. At Smiles for Health DDS, we celebrate individuality and recognize that a “perfect” smile isn’t always about uniformity.
Here’s why gaps can be part of a healthy smile, highlighting harmless gaps and famous smiles with spacing:
- Small, Stable Gaps: If a gap is small, stable (not getting larger over time), and doesn’t cause any functional issues like food trapping, speech problems, or bite issues, then it’s often considered a purely cosmetic variation. Many people live with such gaps without any adverse effects on their oral health. Regular exams and cleanings help ensure these gaps don’t become problematic.
- No Impact on Oral Hygiene: If you can easily clean around and through the gap with normal brushing and flossing, preventing plaque buildup and food impaction, then the dental gap risks for cavities or gum disease are minimized. This means your preventive dentistry routine is effectively managing the space.
- No Bite Issues: If the gap does not affect how your upper and lower teeth meet, and there’s no uneven wear, jaw pain, or other signs of bite misalignment, then functionally, the gap is not causing harm. Your wellness dentistry remains intact.
- Aesthetic Preference: Many individuals genuinely like their tooth gaps and consider them a distinctive part of their appearance. For these people, the gap is a positive feature, not a “problem.” This self-acceptance is a huge part of a healthy smile.
- Famous Smiles with Spacing: History and pop culture are full of celebrities and public figures who proudly sport tooth gaps, proving that a gap can be charismatic and beautiful. Think of iconic smiles like Madonna, Elton John, or Georgia May Jagger. Their gaps are often seen as part of their appeal and uniqueness, challenging traditional notions of “perfect” teeth. They are living examples that problems with spaced teeth aren’t always a negative.
- Minimal Functional Consequences: As long as there are no significant functional consequences – such as difficulty chewing, persistent lisping, or continuous food trapping that leads to recurrent decay or gum inflammation – then the gap can simply be a natural variation of your dentition.
The key is proper evaluation. If you have a gap and are unsure if it’s harmless or something that needs attention, our team at Smiles for Health DDS encourages you to seek a professional opinion. We can assess your specific situation, discuss any potential dental gap risks, and help you decide if your gap is truly part of your healthy, unique smile, or if it warrants consideration for clear teeth aligners or other treatments. Contact us for an assessment that prioritizes your overall oral health and personal comfort.

What Are the Options to Fix Gapped Teeth?
If you’ve been asking, “Are gaps in your teeth bad?” and our evaluation confirms that your spaces are causing dental gap risks or significant problems with spaced teeth, or if you simply wish to improve your smile aesthetically, there are many effective options available. At Smiles for Health DDS, our team can discuss a range of solutions tailored to your specific needs and desires for your wellness dentistry and smile makeovers.
Here are the primary options to fix gapped teeth:
- Orthodontics (Braces or Aligners): This is often the most comprehensive and long-term solution, especially if the gaps are large, multiple, or accompanied by bite issues.
- and : These clear, removable trays gradually shift your teeth into the desired position. They are a popular choice for adults and teens because they are discreet and allow for easier eating and cleaning than traditional braces. We also offer SureSmile aligners for advanced orthodontic treatment.
- Traditional Braces: While less common for purely cosmetic gap closure, traditional metal or ceramic braces are highly effective for complex cases involving significant tooth movement and bite correction.
- : This is a quick, cost-effective, and minimally invasive option for closing small to moderate gaps, especially between the front teeth.
- How it works: A tooth-colored resin material is applied to the edges of the gapped teeth, sculpted to fill the space, and then hardened with a special light. The process can often be completed in a single visit. It blends seamlessly with your natural teeth.
- : Veneers are thin, custom-made shells, usually crafted from porcelain or composite resin, that are bonded to the front surface of your teeth.
- How they work: Veneers can effectively close gaps, improve tooth shape, and correct discoloration simultaneously. They offer a very natural and aesthetically pleasing result. The dentist typically removes a small amount of enamel to prepare the tooth before bonding the veneer.
- or (for missing teeth): If the gap is due to a missing tooth, addressing the missing tooth will inherently close or reduce the space.
- : A dental implant is a durable, long-term solution where a titanium post is surgically placed into the jawbone to replace the root of a missing tooth, and a crown is then placed on top.
- Dental Bridges: A bridge literally “bridges” the gap created by one or more missing teeth. It consists of artificial teeth held in place by dental crowns placed on the natural teeth on either side of the gap.
- Frenectomy: If a large labial frenum (the tissue connecting the lip to the gum) is causing the gap between your front teeth, a simple surgical procedure called a frenectomy can remove or reposition this tissue. After a frenectomy, orthodontics may still be needed to bring the teeth together.
The best solution for your gapped teeth depends on the size and location of the gaps, the underlying cause, your overall oral health, and your aesthetic goals. Our team at Smiles for Health DDS can provide a thorough consultation, discuss all viable options, and help you choose the treatment plan that’s right for you. Whether you’re looking for children’s dentistry solutions for early gaps or adult smile makeovers, we’re here to help. Contact us to explore your options and achieve the smile you’ve always wanted.
Frequently Asked Questions
Are gaps in your teeth bad for your overall oral health?
Gaps in your teeth can increase dental gap risks such as food trapping and gum irritation. Smiles for Health DDS explains that while some spacing is harmless, larger gaps may lead to problems with spaced teeth.
Can gaps in teeth cause speech problems?
Yes, significant gaps can affect speech clarity. Smiles for Health DDS advises evaluating whether gaps impact function in addition to appearance when considering if are gaps in your teeth bad.
Do gaps between teeth increase the risk of gum disease?
Gaps can trap food and plaque, increasing gum disease risk. Smiles for Health DDS highlights the importance of proper cleaning to mitigate dental gap risks.
Are gaps in front teeth purely cosmetic or can they affect bite?
While often cosmetic, gaps can sometimes cause bite misalignment. Smiles for Health DDS assesses problems with spaced teeth on a case-by-case basis.
How do gaps between teeth develop?
Causes include genetics, thumb sucking, missing teeth, and tongue thrust. Smiles for Health DDS explains these factors related to are gaps in your teeth bad
Can gaps in teeth close naturally over time?
Small gaps may close with age or dental growth; larger gaps usually require treatment. Smiles for Health DDS provides options based on dental gap risks.
What are common treatments for gaps in teeth?
Treatments include braces, clear aligners, bonding, and veneers. Smiles for Health DDS customizes care for problems with spaced teeth.
Can gaps lead to uneven wear on teeth?
Yes, gaps can cause uneven pressure during chewing, potentially damaging teeth. Smiles for Health DDS addresses these dental gap risks in treatment plans.
Are gaps in teeth related to jaw size or tooth size?
Yes, discrepancies between jaw and tooth size often cause spacing issues. Smiles for Health DDS evaluates these factors when assessing are gaps in your teeth bad.
Can gaps affect my confidence or social interactions?
Many people feel self-conscious about gaps. Smiles for Health DDS understands the psychological impact and offers cosmetic solutions for problems with spaced teeth.
Do gaps increase the chance of tooth decay?
Gaps can harbor plaque but don’t directly cause decay; poor hygiene does.
Is it safe to leave gaps untreated?
Small gaps may be harmless, but untreated larger gaps can cause complications.
Can adults correct gaps without braces?
Yes, options like veneers or bonding can close gaps without orthodontics.
Do gaps in baby teeth affect adult teeth alignment?
Early gaps can influence permanent tooth positioning but aren’t always problematic.
How long does treatment for gaps in teeth usually take?
Treatment time varies from weeks for bonding to months or years for orthodontics.